Home Services Shu Ping Rong, DDS

Shu Ping Rong, DDS

101 Lafayette St 6th floor, New York, NY 10013

A+ Grade

What People love about this company

Heather T

Review

Had an excellent experience! Dr. Shu Ping Rong is very knowledgeable and caring. She explained my implant procedure with great detail and made the procedure very comfortable. Highly recommend!

User not found

Review

After searching long, and hard for a dentist within my Fidelis insurance network. I am so happy to have found this place. … More

XH L

Review

I've dreaded dental visits for years, but this office has completely changed my perspective. The front desk was so understanding and warm. The dental assistant noticed I was anxious and kept checking in with me, which meant so much. The hygienist was so gentle and talked me through everything she was doing. Dr. Rong was the best part—calm, reassuring, and truly listened to my concerns. This is the first time I've left a dental appointment feeling calm and positive. Thank you to the entire team!

Peter

Review

Incredible experience at this dental location. Doctor Shu Ping Rong, is very talented & caring for her patients. She understands how to help your teeth related issues. Definitely one of the best dentist in New York City! I highly recommend my friends + family here. Thank you for your hospitality!!

About Shu Ping Rong, DDS

Dr. Rong went to SUNY at Stony Brook to get her BS degree in Biochemistry. She graduated with Magna Cum Laude and Phi Beta Kappa, and attended Stony Brook School of Dental Medicine. Dr. Rong then entered GPR at Mount Sinai Queens Hospital Center. Dr. Rong has extensive experience in surgical and restorative implant dentistry, bone grafting, sinus lifting surgery and has performed over a thousand dental implants procedures and restorations. Dr. Rong has also successfully treated many various cases of gum disease and malocclusion. She has earned the prestigious status by treating many comprehensive cases and proving the best possible dental care to her patients. In her free time, Dr. Rong enjoys stippling painting and collecting stamps!

About Shu Ping Rong, DDS

Dr. Rong went to SUNY at Stony Brook to get her BS degree in Biochemistry. She graduated with Magna Cum Laude and Phi Beta Kappa, and attended Stony Brook School of Dental Medicine. Dr. Rong then entered GPR at Mount Sinai Queens Hospital Center. Dr. Rong has extensive experience in surgical and ...

see more

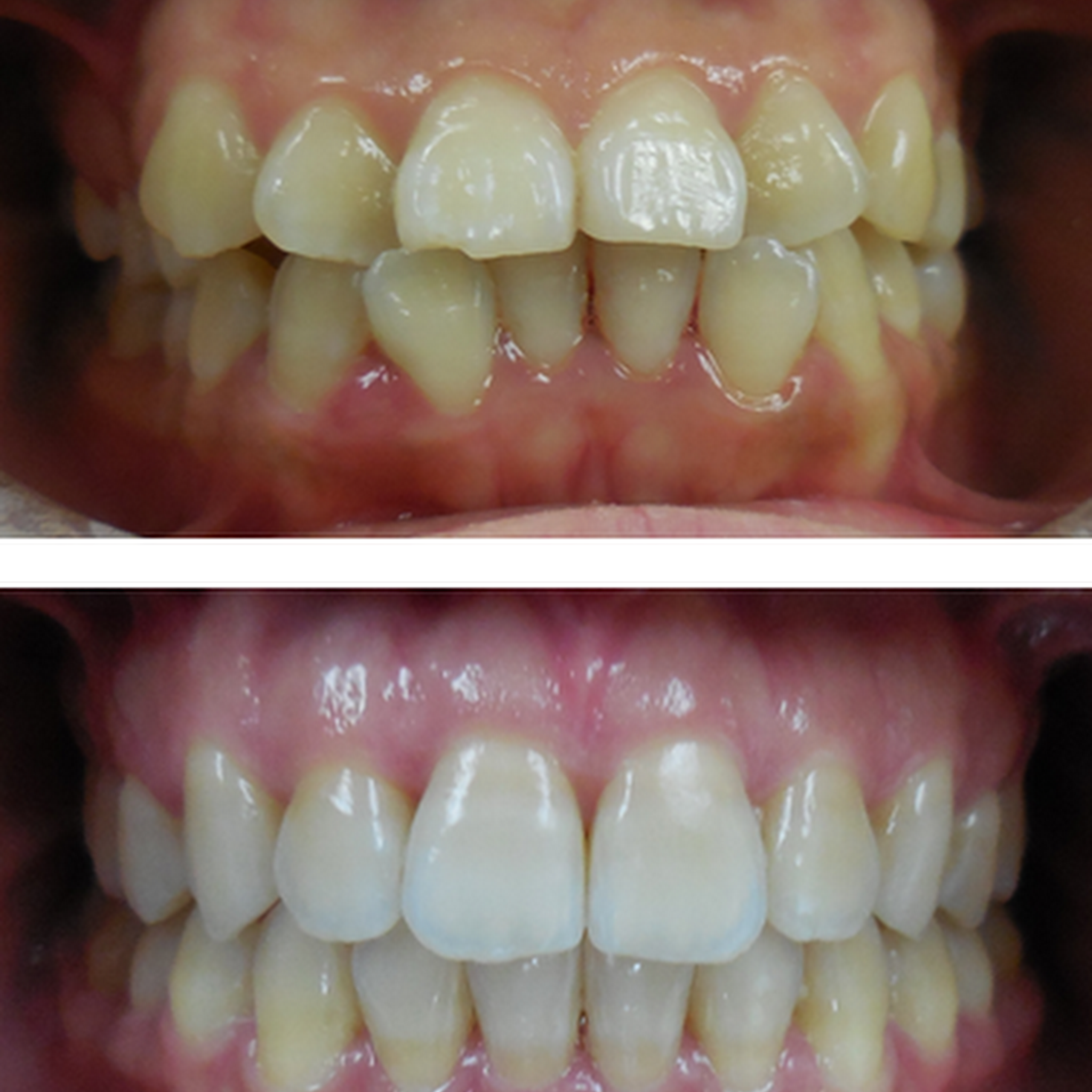
Photos

Reviews

(4) Reviews for this company

1 Stars

0%

(0)

2 Stars

0%

(0)

3 Stars

0%

(0)

4 Stars

0%

(0)

5 Stars

100%

(4)

Avg Rating:

Quality of Service:

5

Response time:

5

Behavior:

5

H

Heather T

Had an excellent experience! Dr. Shu Ping Rong is very knowledgeable and caring. She explained my implant procedure with great detail and made the procedure very comfortable. Highly recommend!


X

XH L

I've dreaded dental visits for years, but this office has completely changed my perspective. The front desk was so understanding and warm. The dental assistant noticed I was anxious and kept checking in with me, which meant so much. The hygienist was so gentle and talked me through everything she was doing. Dr. Rong was the best part—calm, reassuring, and truly listened to my concerns. This is the first time I've left a dental appointment feeling calm and positive. Thank you to the entire team!


U

User not found

After searching long, and hard for a dentist within my Fidelis insurance network. I am so happy to have found this place. … More


P

Peter

Incredible experience at this dental location. Doctor Shu Ping Rong, is very talented & caring for her patients. She understands how to help your teeth related issues. Definitely one of the best dentist in New York City! I highly recommend my friends + family here. Thank you for your hospitality!!


Photos

Reviews

(4) Reviews for this company

1 Stars

0%

(0)

2 Stars

0%

(0)

3 Stars

0%

(0)

4 Stars

0%

(0)

5 Stars

100%

(4)

Avg Rating:

Quality of Service:

5

Response time:

5

Behavior:

5


H

Heather T

Had an excellent experience! Dr. Shu Ping Rong is very knowledgeable and caring. She explained my implant procedure with great detail and made the procedure very comfortable. Highly recommend!


U

User not found

After searching long, and hard for a dentist within my Fidelis insurance network. I am so happy to have found this place. … More


X

XH L

I've dreaded dental visits for years, but this office has completely changed my perspective. The front desk was so understanding and warm. The dental assistant noticed I was anxious and kept checking in with me, which meant so much. The hygienist was so gentle and talked me through everything she was doing. Dr. Rong was the best part—calm, reassuring, and truly listened to my concerns. This is the first time I've left a dental appointment feeling calm and positive. Thank you to the entire team!


P

Peter

Incredible experience at this dental location. Doctor Shu Ping Rong, is very talented & caring for her patients. She understands how to help your teeth related issues. Definitely one of the best dentist in New York City! I highly recommend my friends + family here. Thank you for your hospitality!!


No Seller Reviews Yet

Sellers can share their experiences working with customers here.

100%

Client Satisfaction

100%

Response Rate

100%

As Described Service

$ - $$

This service is listed on HandyHubb but hasn’t been claimed yet. Pricing and details may vary. Want to claim it? Click Here

Service Offers

Get More from Handyhubb

Special discount

Inside Tips

Early Access to new features

Why are you reporting this?

You're In!

We've added you in the list.

Expect early access, insider updates, and exclusive offers straight to your inbox

Donate Now